HOME |
JOIN |
LOGIN
로그인
봄날의미소 송파점
봄날의미소 건대점
꼼꼼튼튼 임플란트
예뻐지는 치아교정
자연치아 오래쓰기
봄날의 커뮤니티
스타갤러리
치료 전ㆍ후
고객과함께
미소갤러리
치료 전ㆍ후
공지사항
Copyright ⓒ 2020 springsmile All right reserved.
전ㆍ후 사진
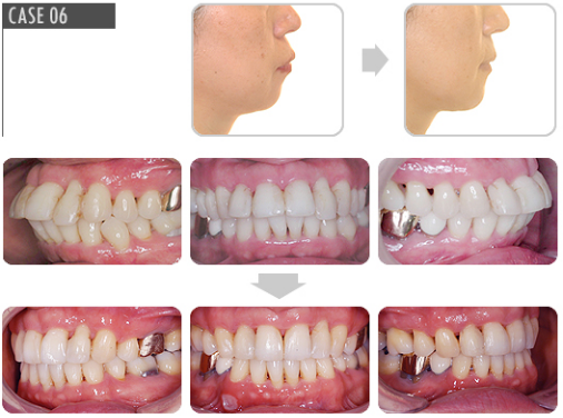
[치아교정]치아교정(자가결찰브라켓) - 케이스6
2020.04.21
목록