|
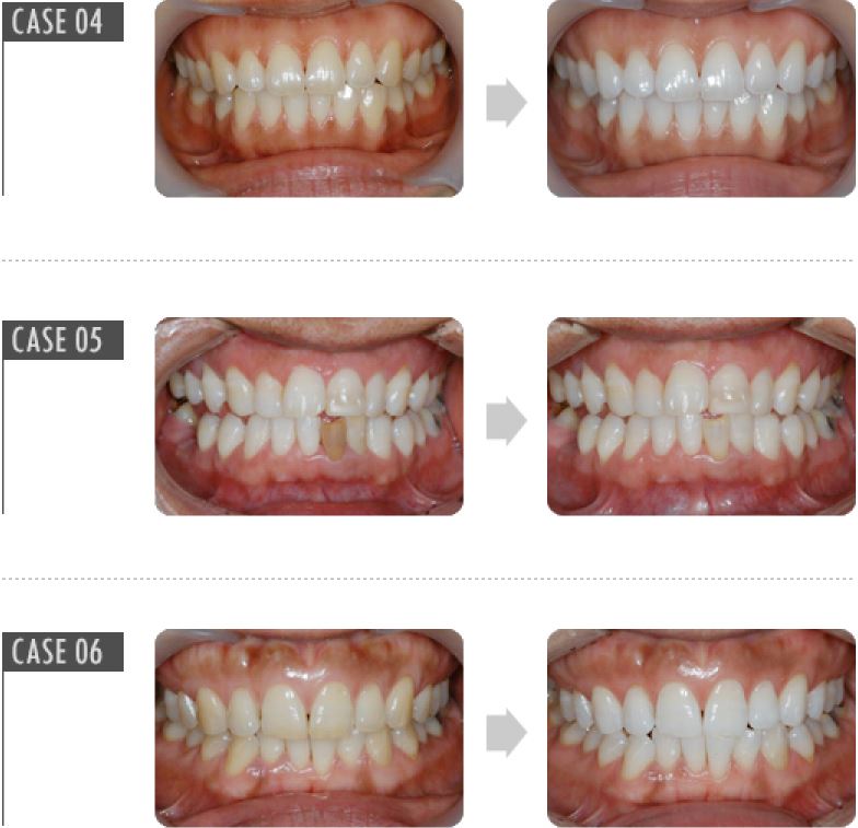
[심미치료]치아미백 전후사례 2020.03.06 |
||||
![]() |
![]() |
![]() |
||
|
----------------------------------------------------------------------------------------------------------------------------------
![]()
|
||||







