| 번호 | 사진(전/후) | 제목 | 개시일 |
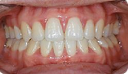
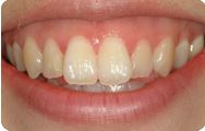
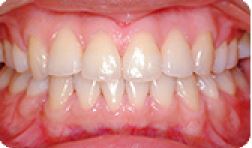
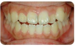
| 16 |
|
치아교정 세라믹브라켓-1 | 2020.03.19 |
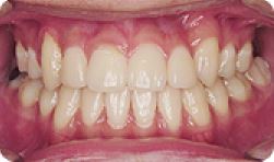
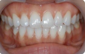
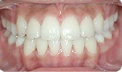
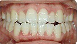
| 15 |
|
치아교정 세라믹브라켓 전후사례 | 2020.03.06 |
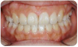
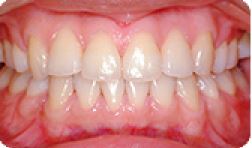
| 14 |
|
치아교정 레진브라켓 전후사례 | 2020.03.06 |
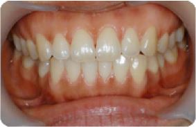
| 13 |
|
치아교정 자가결찰브라켓 전후사례 | 2020.03.06 |
| 12 |
|
치아교정 인비절라인 전후사례 | 2020.03.06 |
| 11 |
|
치아교정 금속브라켓 전후사례 | 2020.03.06 |
| 10 |
|
치아교정 설측브라켓 전후사례 | 2020.03.06 |
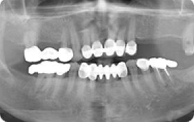
| 9 |
|
임플란트 전후사례 | 2020.03.06 |
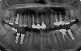
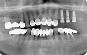
| 8 |
|
임플란트 상악동거상술 전후사례 | 2020.03.06 |
| 7 |
|
치아미백 전후사례 | 2020.03.06 |
| 6 |
|
치아성형 전후사례 | 2020.03.06 |
| 5 |
|
벌어진 입 치아교정 전후사례 | 2020.02.24 |


